Θέμα της σημερινής ανάρτησης είναι το
σφίξιμο και το τρίξιμο των δοντιών με το οποίο είχαμε ασχοληθεί λιγάκι
σε παλαιότερη ανάρτηση.
σφίξιμο και το τρίξιμο των δοντιών με το οποίο είχαμε ασχοληθεί λιγάκι
σε παλαιότερη ανάρτηση.
Κοιτάζοντας τα στατιστικά,είδα ότι είχε
απασχολήσει πολλούς από τους αναγνώστες του ιστολογίου οπότε επανέρχομαι
με ένα εκτεταμένο άρθρο.Θα μπορούσα και να το ονομάσω «Βρυγμός..η επιστροφή»ή «Σφίξιμο/Τρίξιμο reloaded» αλλά ακούγεται πολύ Χολιγουντιανό!!
απασχολήσει πολλούς από τους αναγνώστες του ιστολογίου οπότε επανέρχομαι
με ένα εκτεταμένο άρθρο.Θα μπορούσα και να το ονομάσω «Βρυγμός..η επιστροφή»ή «Σφίξιμο/Τρίξιμο reloaded» αλλά ακούγεται πολύ Χολιγουντιανό!!
Τρίξιμο ή/και Σφίξιμο των δοντιών ή
αλλιώς Βρυγμός ή Βρουξισμός από την αγγλική ορολογία Bruxism.Κάποιοι
μόνο τρίζουν τα δόντια τους,άλλοι μόνο τα τρίζουν και άλλοι τα σφίγγουν
και τα τρίζουν μαζί.
αλλιώς Βρυγμός ή Βρουξισμός από την αγγλική ορολογία Bruxism.Κάποιοι
μόνο τρίζουν τα δόντια τους,άλλοι μόνο τα τρίζουν και άλλοι τα σφίγγουν
και τα τρίζουν μαζί.
Ανήκει στις παραλειτουργικές
συνήθειες(έξεις). Παραλειτουργικές είναι οι συνήθειες τις οποίες κάνουμε
χωρίς να το καταλαβαίνουμε(ασυνείδητα) και οι οποίες δεν είναι κάτι
φυσιολογικό για τον οργανισμό.Να σας δώσω το εξής παράδειγμα.Όταν τρώμε
και δαγκώνουμε την τροφή μας είναι λειτουργική συνήθεια.Όταν δαγκώνουμε
και τρώμε πχ τα νύχια μας είναι παραλειτουργική ή μη λειτουργική
συνήθεια.Άλλες παραλειτουργικές συνήθειες είναι το δάγκωμα των
εσωτερικών από τα μάγουλα,το δάγκωμα στυλών ή μολυβιών,το μάσημα
πάγου(για το οποίο θα ασχοληθούμε σε ξεχωριστή ανάρτηση) και φυσικά το
σφίξιμο ή το τρίξιμο των δοντιών.
Ειδικά για το σφίξιμο ή τρίξιμο των δοντιών,συνήθως εμφανίζεται κατά τη
διάρκεια της νύχτας όταν δεν μπορούμε να το ελέγξουμε.Είναι δυνατόν να
το κάνουμε και κατά τη διάρκεια της ημέρας(day clenchers ή ημερήσιοι
βρυγμομανείς),οπότε είναι πιο εύκολο να αντιμετωπιστεί,αφού το
συνειδητοποιούμε. Είναι αποτέλεσμα άγχους και σίγουρα γίνεται
χειρότερο(πιο έντονο) σε περιόδους άγχους,με αποτέλεσμα να ακούγεται
ένας θόρυβος σαν να τρίβουμε μια πέτρα πάνω σε μια άλλη,οπότε μας το
λέει ο συγκάτοικος/φίλος/γονέας/αδελφός μας και τότε αναζητούμε
θεραπεία για το πρόβλημα μας.Αυτό βέβαια αν τα τρίζουμε γιατί υπάρχει
περίπτωση μόνο να τα σφίγγουμε,οπότε δεν ακούγεται τίποτα.
«Και πώς οι παραλειτουργικές έξεις χαλάνε το στόμα;»
συνήθειες(έξεις). Παραλειτουργικές είναι οι συνήθειες τις οποίες κάνουμε
χωρίς να το καταλαβαίνουμε(ασυνείδητα) και οι οποίες δεν είναι κάτι
φυσιολογικό για τον οργανισμό.Να σας δώσω το εξής παράδειγμα.Όταν τρώμε
και δαγκώνουμε την τροφή μας είναι λειτουργική συνήθεια.Όταν δαγκώνουμε
και τρώμε πχ τα νύχια μας είναι παραλειτουργική ή μη λειτουργική
συνήθεια.Άλλες παραλειτουργικές συνήθειες είναι το δάγκωμα των
εσωτερικών από τα μάγουλα,το δάγκωμα στυλών ή μολυβιών,το μάσημα
πάγου(για το οποίο θα ασχοληθούμε σε ξεχωριστή ανάρτηση) και φυσικά το
σφίξιμο ή το τρίξιμο των δοντιών.
Ειδικά για το σφίξιμο ή τρίξιμο των δοντιών,συνήθως εμφανίζεται κατά τη
διάρκεια της νύχτας όταν δεν μπορούμε να το ελέγξουμε.Είναι δυνατόν να
το κάνουμε και κατά τη διάρκεια της ημέρας(day clenchers ή ημερήσιοι
βρυγμομανείς),οπότε είναι πιο εύκολο να αντιμετωπιστεί,αφού το
συνειδητοποιούμε. Είναι αποτέλεσμα άγχους και σίγουρα γίνεται
χειρότερο(πιο έντονο) σε περιόδους άγχους,με αποτέλεσμα να ακούγεται
ένας θόρυβος σαν να τρίβουμε μια πέτρα πάνω σε μια άλλη,οπότε μας το
λέει ο συγκάτοικος/φίλος/γονέας/αδελφός μας και τότε αναζητούμε
θεραπεία για το πρόβλημα μας.Αυτό βέβαια αν τα τρίζουμε γιατί υπάρχει
περίπτωση μόνο να τα σφίγγουμε,οπότε δεν ακούγεται τίποτα.
«Και πώς οι παραλειτουργικές έξεις χαλάνε το στόμα;»
Οι παραλειτουργικές έξεις αναγκάζουν
τους μύες και την άρθρωση να λειτουργούν όταν αυτό δεν είναι
απαραίτητο.Επομένως είναι σε συνεχή κίνηση και σύσπαση.Άρα κουράζονται
πιο πολύ και επιβαρύνονται.
τους μύες και την άρθρωση να λειτουργούν όταν αυτό δεν είναι
απαραίτητο.Επομένως είναι σε συνεχή κίνηση και σύσπαση.Άρα κουράζονται
πιο πολύ και επιβαρύνονται.
Η συνεχή σύσπαση των μυών μπορεί να
οδηγήσει σε πονοκεφάλους και ημικρανίες καθώς και σε προβλήματα στην
άρθρωση(ΚροταφοΓναθική Διάρθρωση ή ΚΓΔ) με αποτέλεσμα να ακούγεται ένας
ήχος σαν κλίκ κάθε φορά που ανοίγουμε ή κλείνουμε το στόμα μας.Μπορεί με
τον ήχο να συνυπάρχει και πόνος κατά το άνοιγμα ή κλείσιμο του
στόματος.Επίσης ένα από τα αποτελέσματα του σφιξίματος ή τριξίματος των
δοντιών είναι το να νιώθουμε το σαγόνι μας και τους μύες πιασμένους όταν
ξυπνάμε το πρωί.
οδηγήσει σε πονοκεφάλους και ημικρανίες καθώς και σε προβλήματα στην
άρθρωση(ΚροταφοΓναθική Διάρθρωση ή ΚΓΔ) με αποτέλεσμα να ακούγεται ένας
ήχος σαν κλίκ κάθε φορά που ανοίγουμε ή κλείνουμε το στόμα μας.Μπορεί με
τον ήχο να συνυπάρχει και πόνος κατά το άνοιγμα ή κλείσιμο του
στόματος.Επίσης ένα από τα αποτελέσματα του σφιξίματος ή τριξίματος των
δοντιών είναι το να νιώθουμε το σαγόνι μας και τους μύες πιασμένους όταν
ξυπνάμε το πρωί.
«Και στα δόντια τι μπορεί να κάνει;»
Το παρατεταμένο σφίξιμο ή τρίξιμο των δοντιών στα δόντια προκαλεί ζημιές.Ας δούμε παραδείγματα ασθενών που πάσχουν από βρυγμό.
Ο πρώτος ασθενής είναι στα πρώτα στάδια του βρυγμού
Το μόνο που διακρίνονονται είναι μικρορωγμές στα δόντια του και ελαφριά φθορά στις άκρες(κοπτικά τμήματα)των δοντιων.
Αν δεν αναζητηθεί θεραπεία το πρόβλημα θα κλιμακωθεί
Αν δεν αναζητηθεί θεραπεία το πρόβλημα θα κλιμακωθεί
και θα φανούν ορατές φθορές στα δόντια.
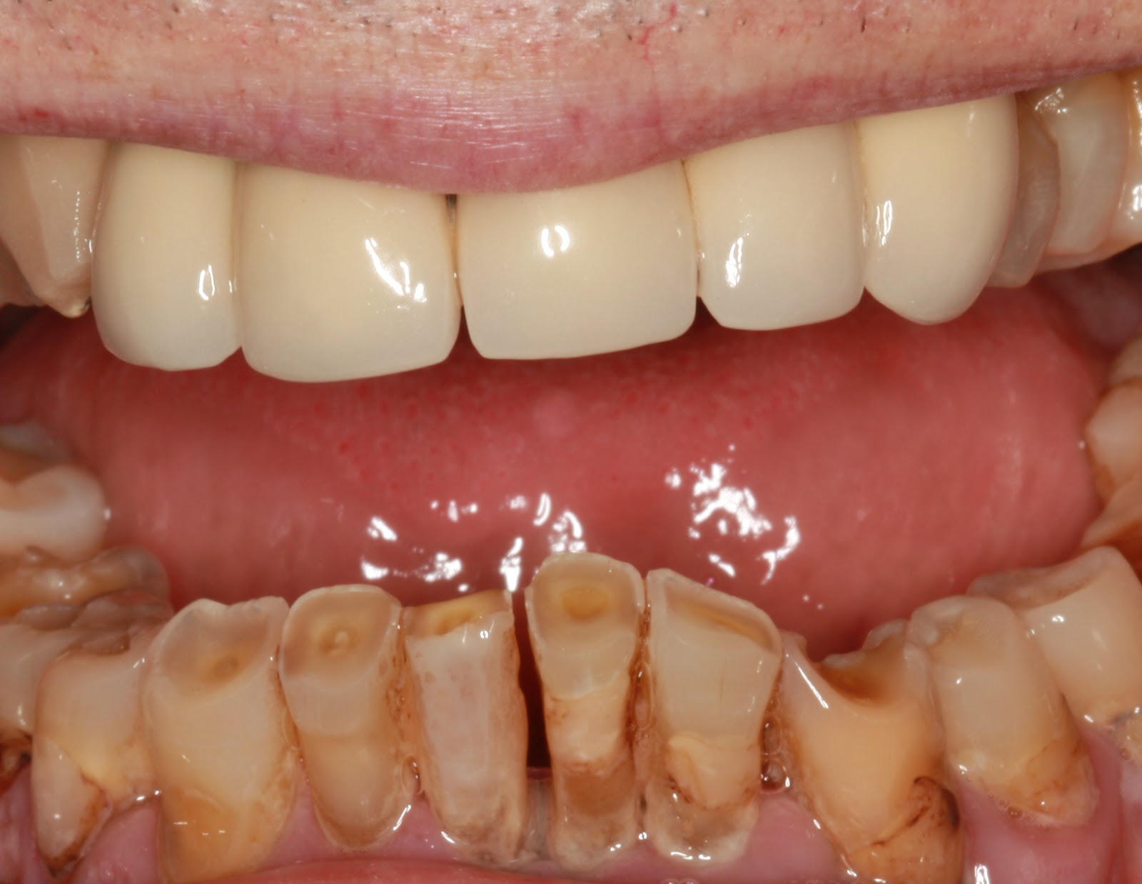
Τα δόντια από το σφίξιμο και το τρίξιμο αρχίζουν να μειώνονται κατά ύψος
και να φαίνονται ελαφρώς μικρότερα.
Αν και τότε δεν αναζητηθεί θεραπεία ή αφεθεί επί μακρόν αυτή η κατάσταση τότε τα δόντια καταλήγουν κάπως έτσι
Τα δόντια από το σφίξιμο και το τρίξιμο αρχίζουν να μειώνονται κατά ύψος
και να φαίνονται ελαφρώς μικρότερα.
Αν και τότε δεν αναζητηθεί θεραπεία ή αφεθεί επί μακρόν αυτή η κατάσταση τότε τα δόντια καταλήγουν κάπως έτσι
Βλέπετε πόσο φθαρμένα και κατεστραμμένα
είναι τα δόντια.Και για να το καταλάβετε καλύτερα ας επεξεργαστούμε λίγο
την τελευταία εικόνα
είναι τα δόντια.Και για να το καταλάβετε καλύτερα ας επεξεργαστούμε λίγο
την τελευταία εικόνα
Βλέπετε πόσο δόντι έχει χαθεί κατά
ύψος.Ο ασθενής έχει γέφυρα στα πάνω δόντια και αυτό χειροτερεύει το
πρόβλημα,μια και οι προσθετικές αποκαταστάσεις(στεφάνες/γέφυρες) είναι
πιο δυνατές από τα φυσικά δόντια,άρα με το τρίξιμο ή/και σφίξιμο των
δοντιών χαλάνε πρώτα τα δόντια και μετά αυτές.Καταλαβαίνετε το αισθητικό
και λειτουργικό πρόβλημα που δημιουργείται. Και η αποκατάσταση είναι
πολύ πιο δύσκολη και πολύ πιο επεμβατική και φυσικά με μεγαλύτερο κόστος
για τον ασθενή.
Εκτός όμως με τα προβλήματα με τα δόντια κατά ύψος,από το
σφίξιμο/τρίξιμο των δοντιών δημιουργούνται και αποσπάσεις δοντιού από τα
σημεία πάνω από τα ούλα
ύψος.Ο ασθενής έχει γέφυρα στα πάνω δόντια και αυτό χειροτερεύει το
πρόβλημα,μια και οι προσθετικές αποκαταστάσεις(στεφάνες/γέφυρες) είναι
πιο δυνατές από τα φυσικά δόντια,άρα με το τρίξιμο ή/και σφίξιμο των
δοντιών χαλάνε πρώτα τα δόντια και μετά αυτές.Καταλαβαίνετε το αισθητικό
και λειτουργικό πρόβλημα που δημιουργείται. Και η αποκατάσταση είναι
πολύ πιο δύσκολη και πολύ πιο επεμβατική και φυσικά με μεγαλύτερο κόστος
για τον ασθενή.
Εκτός όμως με τα προβλήματα με τα δόντια κατά ύψος,από το
σφίξιμο/τρίξιμο των δοντιών δημιουργούνται και αποσπάσεις δοντιού από τα
σημεία πάνω από τα ούλα
Οι βλάβες αυτές λέγονται «απομεμακρυσμένες αποσπάσεις» και αδυνατίζουν
ακόμα περισσότερο το δόντι.Φυσικά χωρίς θεραπεία,μόνο μεγαλώνουν τα
προβλήματα.
ακόμα περισσότερο το δόντι.Φυσικά χωρίς θεραπεία,μόνο μεγαλώνουν τα
προβλήματα.
«Και τι κάνω τώρα γιατρέ;Με άγχωσες περισσότερο!»
Η λύση για το σφίξιμο/τρίξιμο των δοντιών είναι ο νάρθηκας ή μασελάκι βρυγμού
Είναι ένα μασελάκι,το οποίο φοράμε κατά
τη διάρκεια του ύπνου μας.Μοιάζει με αυτόν την λεύκανσης,αλλά είναι πιο
σκληρός. Έτσι όταν τρίζουμε ή σφίγγουμε τα δόντια μας,τρίβουμε το
νάρθηκα και όχι τα δόντια.Επίσης ο νάρθηκας χαλαρώνει τους μύες,για να
μην είναι συνέχεια σε σύσπαση.Και έτσι σταδιακά μαθαίνει ο οργανισμός να
μην σφίγγει ή να μην τρίζει τα δόντια.Φυσικά ο νάρθηκας θέλει και
ρύθμιση,ειδικά τις πρώτες επισκέψεις,μια και πρέπει να ακουμπάει
ομοιόμορφα σε όλα τα δόντια.Η ρύθμιση γίνεται από τον
οδοντίατρο.Παρακάτω φαίνονται φωτογραφίες με το νάρθηκα φορεμένο
τη διάρκεια του ύπνου μας.Μοιάζει με αυτόν την λεύκανσης,αλλά είναι πιο
σκληρός. Έτσι όταν τρίζουμε ή σφίγγουμε τα δόντια μας,τρίβουμε το
νάρθηκα και όχι τα δόντια.Επίσης ο νάρθηκας χαλαρώνει τους μύες,για να
μην είναι συνέχεια σε σύσπαση.Και έτσι σταδιακά μαθαίνει ο οργανισμός να
μην σφίγγει ή να μην τρίζει τα δόντια.Φυσικά ο νάρθηκας θέλει και
ρύθμιση,ειδικά τις πρώτες επισκέψεις,μια και πρέπει να ακουμπάει
ομοιόμορφα σε όλα τα δόντια.Η ρύθμιση γίνεται από τον
οδοντίατρο.Παρακάτω φαίνονται φωτογραφίες με το νάρθηκα φορεμένο
Τα κόκκινα και μαύρα σημαδάκια είναι από
τη ρύθμιση του με χαρτί δήξεως,για να ακουμπάει καλά σε όλα τα δόντια. Ο
νάρθηκας μπορεί να χρειαστεί να ξαναγίνει,μια και φθείρεται από το
τρίξιμο,οπότε μπορεί να χαλάσει.
Μπορεί να φαίνεται λιγάκι περίεργο να το φοράτε κατά τη διάρκεια της
νύχτας και να κοιμόσαστε αλλά αυτή είναι η θεραπεία.Στην αρχή θα σας
φαίνεται άβολο και μπορεί τις πρώτες μέρες να μην μπορείτε να κοιμηθείτε
εύκολα,λόγω του αισθήματος μπουκώματος που θα έχετε με αυτό μέσα στο
στόμα σας ή λόγω της έκκρισης σάλιου,αλλά θα το συνηθίσετε.Αυτό είναι η
θεραπεία σας.Αν αποδεχθείτε το πρόβλημά σας και καταλάβετε ότι αυτή
είναι η μόνη θεραπεία,τότε θα πειθαρχήσετε και θα την κάνετε
Για τη θεραπεία του βρυγμού μπορούν επίσης να δοθούν ασκήσεις
κινησιοθεραπείας της γνάθου,αλλά είναι επικίνδυνο να τις πω.Και αυτό όχι
επειδή φοβάμαι να μοιραστώ τις γνώσεις μου,αλλά επειδή αν εφαρμοστούν
λάθος ασκήσεις για την αντιμετώπιση του προβλήματος το πρόβλημα μπορεί
να χειροτερεύσει και να δημιουργήσει και άλλα.Επίσης σε έντονες
περιπτώσεις μπορεί να δοθεί μυοχαλαρωτική ή και αγχολυτική αγωγή.
τη ρύθμιση του με χαρτί δήξεως,για να ακουμπάει καλά σε όλα τα δόντια. Ο
νάρθηκας μπορεί να χρειαστεί να ξαναγίνει,μια και φθείρεται από το
τρίξιμο,οπότε μπορεί να χαλάσει.
Μπορεί να φαίνεται λιγάκι περίεργο να το φοράτε κατά τη διάρκεια της
νύχτας και να κοιμόσαστε αλλά αυτή είναι η θεραπεία.Στην αρχή θα σας
φαίνεται άβολο και μπορεί τις πρώτες μέρες να μην μπορείτε να κοιμηθείτε
εύκολα,λόγω του αισθήματος μπουκώματος που θα έχετε με αυτό μέσα στο
στόμα σας ή λόγω της έκκρισης σάλιου,αλλά θα το συνηθίσετε.Αυτό είναι η
θεραπεία σας.Αν αποδεχθείτε το πρόβλημά σας και καταλάβετε ότι αυτή
είναι η μόνη θεραπεία,τότε θα πειθαρχήσετε και θα την κάνετε
Για τη θεραπεία του βρυγμού μπορούν επίσης να δοθούν ασκήσεις
κινησιοθεραπείας της γνάθου,αλλά είναι επικίνδυνο να τις πω.Και αυτό όχι
επειδή φοβάμαι να μοιραστώ τις γνώσεις μου,αλλά επειδή αν εφαρμοστούν
λάθος ασκήσεις για την αντιμετώπιση του προβλήματος το πρόβλημα μπορεί
να χειροτερεύσει και να δημιουργήσει και άλλα.Επίσης σε έντονες
περιπτώσεις μπορεί να δοθεί μυοχαλαρωτική ή και αγχολυτική αγωγή.
iator.gr






